手機(jī)掃碼訪問(wèn)本站
微信咨詢
|
Background: |
The protein encoded by this gene is a calcium-binding protein that activates photoreceptor guanylate cyclases. This gene may have arisen due to a gene duplication event since there is a highly similar gene clustered with it on chromosome 6. Mutations in this gene can cause a form of retinitis pigmentosa. |
|
Applications: |
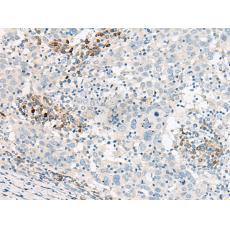
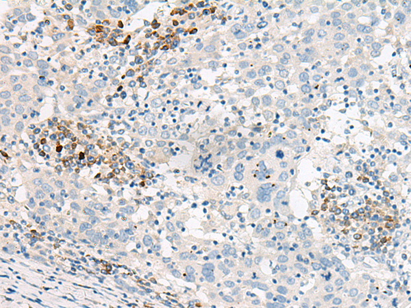
ELISA, WB, IHC |
|
Name of antibody: |
GUCA1B |
|
Immunogen: |
Synthetic peptide of human GUCA1B |
|
Full name: |
guanylate cyclase activator 1B |
|
Synonyms: |
RP48; GCAP2; GUCA2 |
|
SwissProt: |
Q9UMX6 |
|
ELISA Recommended dilution: |
5000-10000 |
|
IHC positive control: |
Human cervical cancer |
