手機掃碼訪問本站
微信咨詢
中文名稱: 兔抗PNPO多克隆抗體
英文名稱: Anti-PNPO rabbit polyclonal antibody
別 名: pyridoxamine 5'-phosphate oxidase; PDXPO; HEL-S-302
抗 原: PNPO
相關類別: 一抗
儲 存: 冷凍(-20℃)
宿 主: Rabbit
反應種屬: Human, Mouse, Rat
標 記 物: Unconjugate
克隆類型: rabbit polyclonal
技術規格
|
Background: |
The enzyme encoded by this gene catalyzes the terminal, rate-limiting step in the synthesis of pyridoxal 5'-phosphate, also known as vitamin B6. Vitamin B6 is a required co-factor for enzymes involved in both homocysteine metabolism and synthesis of neurotransmitters such as catecholamine. Mutations in this gene result in pyridoxamine 5'-phosphate oxidase (PNPO) deficiency, a form of neonatal epileptic encephalopathy. |
|
Applications: |
ELISA, WB, IHC |
|
Name of antibody: |
PNPO |
|
Immunogen: |
Synthetic peptide of human PNPO |
|
Full name: |
pyridoxamine 5'-phosphate oxidase |
|
Synonyms: |
PDXPO; HEL-S-302 |
|
SwissProt: |
Q9NVS9 |
|
ELISA Recommended dilution: |
5000-10000 |
|
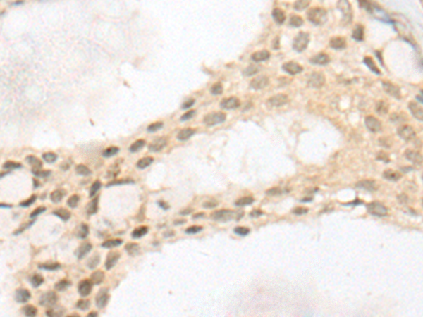
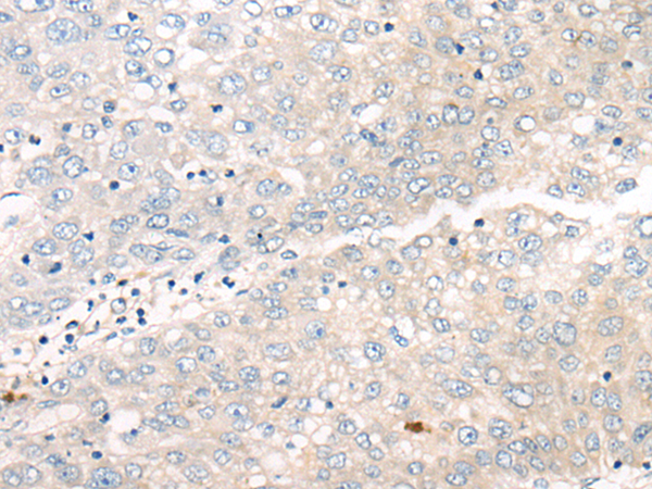
IHC positive control: |
Human thyroid cancer; Human gastric cancer |
|
IHC Recommend dilution: |
20-100 |
|
WB Predicted band size: |
30 kDa |
|
WB Positive control: |
HepG2, 293T, Hela and PC-3 cell lysates |
|
WB Recommended dilution: |
200-1000 |

