手機掃碼訪問本站
微信咨詢
中文名稱: 兔抗PHLDA2多克隆抗體
英文名稱: Anti-PHLDA2 rabbit polyclonal antibody
別 名: IPL; BRW1C; BWR1C; HLDA2; TSSC3
相關類別: 一抗
儲 存: 冷凍(-20℃) 避光
抗 原: PHLDA2
宿 主: Rabbit
反應種屬: Human
標 記 物: Unconjugate
克隆類型: Unconjugate
技術規格
|
Background: |
This gene is located in a cluster of imprinted genes on chromosome 11p15.5, which is considered to be an important tumor suppressor gene region. Alterations in this region may be associated with the Beckwith-Wiedemann syndrome, Wilms tumor, rhabdomyosarcoma, adrenocortical carcinoma, and lung, ovarian, and breast cancer. This gene has been shown to be imprinted, with preferential expression from the maternal allele in placenta and liver. |
|
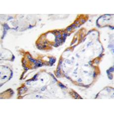
Applications: |
IHC |
|
Name of antibody: |
PHLDA2 |
|
Immunogen: |
Synthesized peptide derived from internal of human PHLA2. |
|
Full name: |
pleckstrin homology-like domain, family A, member 2 |
|
Synonyms: |
IPL; BRW1C; BWR1C; HLDA2; TSSC3 |
|
SwissProt: |
Q53GA4 |
|
IHC positive control: |
Human placenta tissue |
|
IHC Recommend dilution: |
50-100 |
