手機掃碼訪問本站
微信咨詢
|
Background: |
This gene encodes a member of the Wiskott-Aldrich syndrome protein family. The gene product is a protein that forms a multiprotein complex that links receptor kinases and actin. Binding to actin occurs through a C-terminal verprolin homology domain in all family members. The multiprotein complex serves to tranduce signals that involve changes in cell shape, motility or function. A pseudogene of this gene have been defined on chromosome 6. Alternative splicing results in multiple transcript variants |
|
Applications: |
WB, IHC |
|
Name of antibody: |
WASF3 |
|
Immunogen: |
Synthesized peptide derived from internal of human WASF3. |
|
Full name: |
WAS protein family, member 3 |
|
Synonyms: |
SCAR3; WAVE3; Brush-1 |
|
SwissProt: |
Q9UPY6 |
|
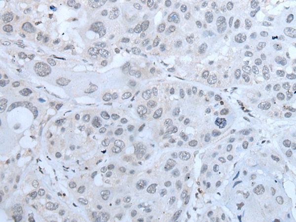
IHC positive control: |
Human breast carcinoma tissue |
|
IHC Recommend dilution: |
50-100 |
|
WB Predicted band size: |
55 kDa |
|
WB Positive control: |
NIH/3T3 cells and 293 cells lysates |
|
WB Recommended dilution: |
500-3000 |
